Bilde
Primær tuberkulose - behandlet
Sist oppdatert:
31. des. 2001

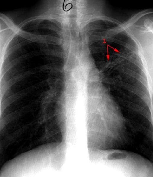
Primær tuberkulose - bilde 2
Tilbakegang av forandringer (1) etter behandling med medikamenter
Sist oppdatert:
31. des. 2001

Primær tuberkulose - bilde 2
Tilbakegang av forandringer (1) etter behandling med medikamenter