Bilde
Urethraklaff
Sist oppdatert:
31. des. 2001

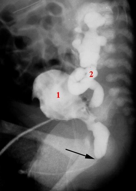
Miksjonscystografi, sidebilde
Klaff i urinrør (pil) som har medført utvidelse av urinrøret over klaffen, fortykket urinblærevegg og urin-reflux til en utvidet og slynget urinleder
Kontrasten er satt inn gjennom et suprapubisk kateter
Annonse
- Urinblære
- Ureter