Bilde
Ethmoidal- og sphenoidalsinus, axial
Sist oppdatert:
25. feb. 2016

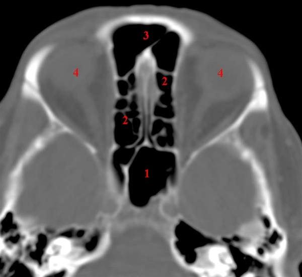
CT-snitt i axialplan gjennom sphenoidalsinus og ethmoidalceller
Basale deler av frontalsinus sees også
- Sphenoidalsinus
- Ethmoidalceller
- Frontalsinus
- Øyne
Sist oppdatert:
25. feb. 2016

CT-snitt i axialplan gjennom sphenoidalsinus og ethmoidalceller
Basale deler av frontalsinus sees også