Bilde
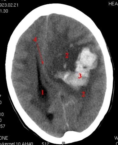
Cerebral blødning med overskyvning
Sist oppdatert:
2. feb. 2016

CT axialbilde uten kontrast
Blødning (lyst område) i hjernen på pasientens venstre side.
Betydelig ødem (mørkt område) rundt hematomet.
Venstre sideventrikkel er komprimert og midtlinjestrukturene er skjøvet mot høyre side
Annonse
- Høyre sideventrikkel
- Ødemsone
- Blødning
- Midtlinjestrukturer