Bilde
Cerebral blødning thalamus
Sist oppdatert:
2. feb. 2016

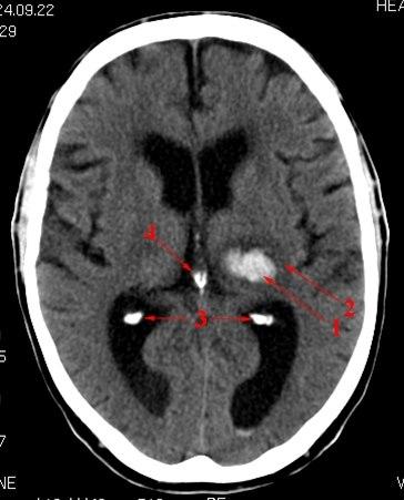
CT axialbilde uten kontrast
Liten blødning (lyst område) i thalamusregionen på pasientens venstre side.
Dessuten ses forkalkninger i plexus choroideus bilateralt og i corpus pineale (intenst hvite områder)
- Blødning i thalamus
- Ødemsone
- Forkalkninger i plexus choroideus
- Forkalkning i corpus pineale
Annonse