Kronisk lymfatisk leukemi (KLL)
Kronisk lymfatisk leukemi er en kreftform hvor modne og spesialiserte lymfocytter vokser og deler seg uhemmet.

Sist oppdatert:
3. apr. 2023
Hva er kronisk lymfatisk leukemi?

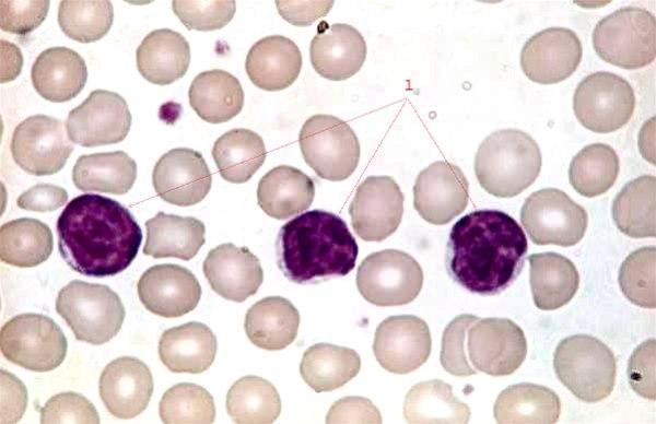
KLL er en form for blodkreft som skyldes at lymfocytter vokser og deler seg uhemmet. Lymfocytter er en av flere typer hvite blodlegemer. De modne lymfocyttene er i starten begrenset til lymfeknuter og annet fast lymfevev. Med tiden vil kreftcellene vokse i beinmargen og antallet av denne typen celler i blodet vil øke. De ondarta cellene er såkalt B-lymfocytter, som er den celletypen som normalt produserer antistoffer.
Opptil åtte av ti med KLL har ingen plager når diagnosen stilles. Det er vanlig å ha flere hovne lymfeknuter. Slapphet, ufrivillig vekttap og tidlig metthet på grunn av forstørret milt, er vanlige symptomer som kan melde seg senere i forløpet. Ved langtkommet sykdom vil det oppstå symptomer som skyldes en svikt i beinmargens produksjon av blodceller:
- Slapphet og tretthet som skyldes lav blodprosent
- Hyppige infeksjoner som skyldes færre friske hvite blodceller
- Blødninger i hud eller slimhinner som skyldes færre blodplater
KLL er den vanligste av blodkreftsykdommene og årlig oppstår rundt 350 nye tilfeller i Norge. Sykdommen opptrer vanligvis hos eldre mennesker, og er sjelden før 40-årsalder. Gjennomsnittlig alder når diagnosen blir stillt er 72 år.
Årsaker
I de fleste tilfellene finnes ingen årsak til sykdommen. Arv synes å ha en viss betydning. Det er ikke funnet noen sikker sammenheng mellom kronisk lymfatisk leukemi og ytre faktorer som påvirkning av stråling eller kjemikalier.
Ved blodkreft mister kreftcellene evnen til å utføre de funksjonene de normalt har i immunforsvaret. Den ukontrollerte veksten fører dessuten til at andre celletyper i beinmargen fortrenges og forhindres i å utføre den jobben de normalt gjør.

Diagnostikk
Sykehistorien kan gi mistanke om sykdommen, men opptil åtte av ti personer er uten symptomer eller plager når sykdommen blir oppdaget.
Ved undersøkelse vil legen kunne finne forstørrede lymfeknuter på halsen, i armhulene eller i lysken hos de fleste, eventuelt forstørret milt eller lever. Lymfeknutene er ikke ømme. Ved beinmargssvikt kan den syke være blek, ha hudblødninger/blåflekker og ha lett for å få infeksjoner. Dette melder seg senere i sykdomsforløpet.
I blodprøvene ses et for høyt antall lymfocytter, uten tilsvarende økning av andre typer blodceller. Diagnosen settes dersom det er mer enn 5 x 109 lymfocytter per liter blod, og diagnosen blir sikker dersom det i tillegg er spesifikke forandringer ved mer avanserte tester av blodcellene.
Tidlig i forløpet er som oftest verdiene for hemoglobin (blodprosent) og antall trombocytter (blodplater) normale. Lenger ut i forløpet vil blodprosent og antall blodplater avta, og det vil være lavere verdier enn normalt av antistoffer i blodet (såkalte immunglobuliner som produseres av friske lymfocytter).
Diagnosen kan stilles med sikkerhet uten å foreta undersøkelse av beinmargen.
Behandling
Hensikten med behandlingen er å bremse sykdommen og gi forlenget overlevelse og bedre livskvalitet. Det anbefales ikke å starte behandling hos personer uten symptomer. I denne perioden følges personen med undersøkelser og blodprøver. Behandlingen starter når sykdommen viser økt aktivitet, det vil si når det melder seg symptomer, eller blodprøver viser tegn til aktiv sykdom.
Behandlingen er kjemoterapi kombinert med immunterapi og i noen tilfeller såkalte signalveishemmere som griper inn i cellenes signaloverføring. Det er laget nasjonale retningslinjer for valg av behandling, som varierer med alder, annen sykdom og med egenskaper som er påvist i kreftcellene.
I noen tilfeller hos personer under 70 år kan det være aktuelt med såkalt stamcelletransplantasjon. Det er laget klare retningslinjer for når og hos hvem det kan være aktuelt med denne behandlingen.
Langtidsutsikter
En del pasienter har liten til ingen utvikling av sykdommen og lever med uendret tilstand i mange år. Lymfeknutene vokser imidlertid som regel hele tiden. Behanling er først nødvendig når plagsomme symptomer oppstår. Tilstanden kan i de fleste tilfeller ikke helbredes, men unntak finnes. Store fremskritt i forståelsen av sykdomsutviklingen har ført til innføring av nye målrettede behandlingsformer med bedre utsikter for mange av de som rammes av KLL.
Gjennomsnittlig overlevelsestid er mer enn 10 år fra diagnosen stilles, men det er sterkt avhengig av i hvilket stadium sykdommen er når den oppdages.
Dette dokumentet er basert på det profesjonelle dokumentet Kronisk lymfatisk leukemi . Referanselisten for dette dokumentet vises nedenfor
- Helsedirektoratet. Nasjonalt handlingsprogram med retningslinjer for diagnostikk, behandling og oppfølging av maligne blodsykdommer. Oslo, desember 2021. www.helsedirektoratet.no
- Danckert B, Ferlay J, Engholm G et al. NORDCAN: Cancer Incidence, Mortality, Prevalence and Survival in the Nordic Countries, Version 9.2 (23.06.2022). Hentet 03.04.2023 www-dep.iarc.fr
- Tjønnfjord GE, Jønsson V, Ly BE, Johannesen TB. Familiær forekomst av kronisk lymfatisk leukemi i Norge. Tidsskr Nor Lægeforen 2012; 135: 2060-3. pmid:23038196 PubMed
- Hallek M, Shanafelt TD, Eichhorst B. Chronic lymphocytic leukaemia. Lancet 2018; 391: 1524-37. pmid:29477250 PubMed
- Tjønnfjord GE, Ly BE, Johannesen TB et al. Kronisk lymfatisk leukemi i Norge – insidens og prognose ved diagnosetidspunktet. Tidsskr Nor Legeforen 2012; 132: 2056-9. pmid:23038195 PubMed
- Fischer K, Bahlo J, Fink AM et al. Long-term remissions after FCR chemoimmunotherapy in previously untreated patients with CLL: updated results of the CLL8 trial. Blood 2016; 127: 208-15. pmid:26486789 PubMed
- Eichhorst B, Fink AM, Bahlo J et al. First-line chemoimmunotherapy with bendamustine and rituximab versus fludarabine, cyclophosphamide, and rituximab in patients with advanced chronic lymphocytic leukaemia (CLL10): an international, open-label, randomised, phase 3, non-inferiority trial. Lancet Oncol 2016; 7: 928-42. pmid:27216274 PubMed
- O'Brien S, Furman RR, Coutre S et al. Single-agent ibrutinib in treatment-naïve and relapsed/refractory chronic lymphocytic leukemia: a 5-year experience. Blood 2018; 131: 1910-19. pmid:29437592 PubMed
- Sharman JP, Coutre SE, Furman RR et al. Final Results of a Randomized, Phase III Study of Rituximab With or Without Idelalisib Followed by Open-Label Idelalisib in Patients With Relapsed Chronic Lymphocytic Leukemia. J Clin Oncol 2019; 37: 1391-1402. pmid:30995176 PubMed
- Jain N, Keating M, Thompson P et al. Ibrutinib and Venetoclax for First-Line Treatment of CLL. N Engl J Med 2019; 380: 2095-2103. pmid:31141631 PubMed