Ustabil angina pectoris
Angina pectorisk kan i noen tilfeller oppstå eller forverres i løpet av kort tid. Brystsmerter kan komme i hvile, ved små anstrengelser, etter måltid eller om natten. En slik tilstand med hurtig forverrelse og uttalt angina defineres som ustabil angina pectoris.

Sist oppdatert:
12. okt. 2021
Hjertet
Hjertet er en kraftig muskel. Det indre av hjertet er delt opp i fire kammer, to forkammer og to hjertekammer. Oksygenfattig blod kommer inn i høyre forkammer og pumpes ut i lungekretsløpet fra høyre hjertekammer. Oksygenrikt blod kommer inn i venstre forkammer og pumpes ut i det store kretsløpet fra venstre hjertekammer. Hjertets muskelsammentrekninger styres og samordnes av elektriske signaler som passerer gjennom et elektrisk ledningsnett som ligger inne i hjertemuskulaturen.


Siden hjertet er en stor muskel som arbeider hele tiden, behøves kontinuerlig tilførsel av oksygen og næring. Denne tilførselen skjer via blodet. Fra første del av hovedpulsåren (aorta) avgår to kransårer (høyre og venstre koronararterie) som forløper på utsiden av hjertemuskulaturen. Koronararteriene deler seg etter hvert opp i stadig mindre grener som "dukker ned" i muskulaturen og sørger for blodforsyningen til alle deler av hjertet.
Når vi anstrenger oss, må hjertet pumpe kraftigere og raskere for å frakte nok blod rundt til muskulaturen og de andre organene i kroppen. For å klare det, trenger hjertet mer næring og oksygen, derfor må også blodforsyningen til hjertet kunne øke. Et friskt hjerte kan øke blodstrømmen til koronararteriene til det ni-dobbelte av hva den er i hvile.
Hva er angina pectoris?
Koronararteriene kan med årene bli trangere på grunn av avleiringer på innsiden av blodkarene (aterosklerose). Det betyr at mindre blodmengder strømmer gjennom arteriene. I hvile eller når vi ikke anstrenger behøver ikke dette være noe problem. Dersom vi anstrenger oss mye, kan blodstrømmen bli for liten slik at deler av hjertemuskelen får utilstrekkelig oksygen og næring. Noen arterier er som regel trangere enn andre, og derfor er det oftest bare en mindre del av hjertemuskelen som får for lite oksygen.


Angina pectoris er anfallsvis opptreden av brystsmerter av inntil 5-15 minutters varighet, som skyldes redusert blodforsyning til hjertemuskelen. Anfallene utløses av anstrengelser, avtar raskt og forsvinner etter noen minutters hvile. Inntak av Nitroglycerin som smelter i munnen, gir smertelindring i løpet av 1-3 minutter.
Smertene beskrives som klemmende og sammensnørende. De kjennes bak brystbeinet og kan stråle ut i venstre skulder og arm, noen ganger opp i kjeven. Anfallene kommer lettere når det er kaldt og etter et stort måltid.
Det er omtrent 100.000-150.000 angina-pasienter i Norge.
Hva er ustabil angina pectoris?
I noen tilfeller kan angina pectoris utvikles eller forverres i løpet av kort tid. Brystsmerter kan komme i hvile, ved små anstrengelser, etter måltid eller om natten. En slik tilstand med hurtig forverrelse og uttalt angina defineres som ustabil angina pectoris. Tilstanden omtales også som et truende hjerteinfarkt. Hos mange er ustabil angina pectoris en forløper til hjerteinfarkt. Ved hjerteinfarkt blokkeres blodtilførselen til en del av hjertet fullstendig, og denne delen av hjertemuskelen dør og erstattes med bindevev som mangler evnen til å kunne trekke seg sammen. Hjertet blir derfor svakere etter et hjerteinfarkt.
Hjerterytmeforstyrrelser er et annet problem. Slike forstyrrelser kan oppstå i det oksygenfattige vevet eller som følge av forstyrrelser i hjertets elektriske ledningsnett, som også kan rammes av oksygenmangel.


Ustabil angina pectoris er en farlig tilstand. Dels kan det føre til akutt hjerteinfarkt, til alvorlige rytmeforstyrrelser og noen ganger plutselig død.
Diagnostikk
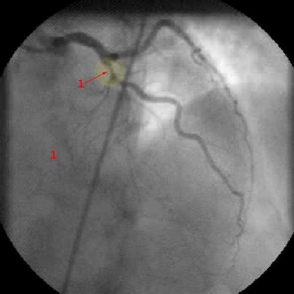
Diagnosen bygger i all hovedsak på sykehistorien. Det vil si de symptomer og tegn som du selv merker. Ved raskt økende brystsmerter av den beskrevne typen bør du ta kontakt med lege snarest. Som regel vil det være aktuelt å legge deg inn på sykehus til observasjon og behandling. EKG og blodprøver vil avklare om det er angina eller om det er oppstått et akutt hjerteinfarkt. I de fleste tilfeller vil det være aktuelt å ta bilder av koronararteriene ved en hjertekateterisering (se video nedenfor).


Behandling
Formålet med behandlingen er å lindre smertene og bedre sirkulasjonen i koronararteriene. Du får beskjed om å ta det med ro, du blir lagt til sengs, får eventuelt oksygentilførsel og sterke smertestillende medisiner (morfin). Du vil få ulike typer hjertemedisiner. Disse vil dels bidra til å minske belastningen på hjertet, dels styrke hjertet, dels utvide blodårene. Du vil også få blodtynnende medisiner som skal forhindre at blodet levrer seg og blokkerer de trange koronararteriene.
Tidlig etter innkomsten vil legene vurdere om du bør få utført utblokking av koronararterien(e) som er blitt trange - inngrepet kalles perkutan koronar intervensjon (PCI). Helst vil man gjøre det innen 12-24 timer.

Ved PCI føres et kateter inn i den trange blodåren, åren vides ut og i de fleste tilfeller setter man inn en stent. Stent er en type armering som skal forebygge at blodåren lukker seg igjen. Andre ganger kan det bli nødvendig med en åpen hjerteoperasjon der man syr inn en ny blodåre forbi den eller de årene som er trange (bypass-operasjon).


Prognose
Ved tidlig og riktig behandling er utsiktene for et godt utfall de beste. Tilstanden kan også noen ganger bedre seg selv. Noen får imidlertid hjerteinfarkt, og noen dør. De aller fleste overlever. Klarer man å unngå at det oppstår hjerteinfarkt, er leveutsiktene gode.
Dette dokumentet er basert på det profesjonelle dokumentet Angina pectoris, ustabil . Referanselisten for dette dokumentet vises nedenfor
- Collet J-P, Thiele H, Barbato E, et al. 2020 ESC Guidelines for the management of acute coronary syndromes in patients presenting without persistent ST-segment elevation: The Task Force for the management of acute coronary syndromes in patients presenting without persistent ST-segment elevation of the European Society of Cardiology (ESC). Eur Heart J 2021; 42: 1289-1367. doi:10.1093/eurheartj/ehaa575 DOI
- Byrne RA, Rosello X, Coughlan JJ, et al. 2023 ESC Guidelines for the management of acute coronary syndromes: Developed by the task force on the management of acute coronary syndromes of the European Society of Cardiology (ESC). Eur Heart J 2023; 44: 3720-3826. pmid:37622654 PubMed
- Simons M. Classification of unstable angina and non-ST elevation myocardial infarction. UpToDate, last updated June 24, 2013. UpToDate
- Shah ASV, Anand A, Strachan FE, et al. High-sensitivity troponin in the evaluation of patients with suspected acute coronary syndrome: a stepped-wedge, cluster-randomised controlled trial. Lancet 2018; 392: 919-928. pmid:30170853 PubMed
- Braunwald E, Morrow DA. Unstable angina: is it time for a requiem? Circulation 2013; 127:2452. Circulation
- Jahnke C, Paetsch I, Nehrke K, et al. Rapid and complete coronary arterial tree visualization with magnetic resonance imaging: feasibility and diagnostic performance. Eur Heart J 2005; 26: 2313-9. European Heart Journal
- Williams MC, Hunter A, Shah AS, et al. Use of Coronary Computed Tomographic Angiography to Guide Management of Patients With Coronary Disease. J AM Coll Cardiol 2016; 67: 1759-68. pmid:27081014 PubMed
- Braunwald E, Antman EM, Beasley JW, Califf RM, Cheitlin MD, Hochman JS, et al. ACC/AHA 2002 guideline update for the management of patients with unstable angina and non-ST-segment elevation myocardial infarction: a report of the American College of Cardiology/American Heart Association task force on practice guidelines. J Am Coll Cardiol 2002;40: 1366-74. PubMed
- Bertrand ME, Simoons ML, Fox KA, Wallentin LC, Hamm CW, McFadden E, et al. Management of acute coronary syndromes: acute coronary syndromes without persistent ST segment elevation. Recommendations of the Task Force of the European Society of Cardiology. Eur Heart J 2000;21: 1406-32. European Heart Journal
- Grech ED, Ramsdale DR. Acute coronary syndrome: unstable angina and non-ST segment elevation myocardial infarction. BMJ 2003; 326: 1259-61. PubMed
- Lagerqvist B, Husted S, Kontny F, et al. 5-year outcomes in the FRISC-II randomised trial of an invasive versus a non-invasive strategy in non-ST-elevation acute coronary syndrome: a follow-up study. Lancet 2006; 368: 998-1004. PubMed
- Mohr FW, Morice M-C, Kappetein AP, et al. Coronary artery bypass graft surgery versus percutaneous coronary intervention in patients with three-vessel disease and left main coronary disease: 5-year follow-up of the randomised, clinical SYNTAX trial. Lancet 2013; 381: 629-38. pmid:23439102 PubMed
- Mehta SR, Cannon CP, Fox KA, et al. Routine vs selective invasive strategies in patients with acute coronary syndrome. A collaborative meta-analysis of randomized trials. JAMA 2005; 293: 2908-17. Journal of the American Medical Association
- O'Donoghue M, Boden WE, Braunwald E, et al. Early invasive vs conservative treatment strategies in women and men with unstable angina and non-ST-segment elevation myocardial infarction. A meta-analysis. JAMA 2008; 300: 71-80. Journal of the American Medical Association
- The joint European Society of Cardiology/American College of Cardiology Committee. Myocardial infarction redefined - a consensus document of the joint European Society of Cardiology/American College of Cardiology Committee for the redefinition of myocardial infarction. Eur Heart J 2000; 21: 1502-13. European Heart Journal
- Al-Anee K, Al-Ani A, Henriksen M, Halvorsen BA, Sirnes PA. Dødelighet etter akutt koronarsyndrom. Tidsskr Nor Lægeforen 2007; 127: 1628-30. PubMed
- Kappetein AP, Feldman TE, Mack MJ, et al. Comparison of coronary bypass surgery with drug-eluting stenting for the treatment of left main and/or three-vessel disease: 3-year follow-up of the SYNTAX trial. Eur Heart J 2011; 32: 2125-34. pmid:21697170 PubMed
- Head SJ, Milojevic M, Daemen J, et al. Mortality after coronary artery bypass grafting versus percutaneous coronary intervention with stenting for coronary artery disease: a pooled analysis of individual patient data. Lancet 2018; 391: 939. pmid:29478841 PubMed
- Head SJ, Milojevic M, Daemen J, et al. Stroke Rates Following Surgical Versus Percutaneous Coronary Revascularization. J Am Coll Cardiol 2018; 72: 386. pmid:30025574 PubMed
- NICE guidelines. Lipid modification: cardiovascular risk assessment and the modification of blood lipids for the primary and secondary prevention of cardiovascular disease. NICE guidelines CG181 2014.
- Costa F, Van Kleveren D, Feres F, et al. Dual Antiplatelet Therapy Duration Based on Ischemic and Bleeding Risks After Coronary Stenting. JACC 2019. pmid:30784667 PubMed