Håndleddsbrudd
Håndleddsbrudd er den vanligste bruddtypen som forekommer. Bruddet er lokalisert til nedre del av spolbeinet (radius), underarmsbeinet som befinner seg på samme side som tommelen, noen få centimeter ovenfor håndleddet.

Sist oppdatert:
3. apr. 2025
Innhold i artikkelen
Hva er et håndleddsbrudd?
Underarmen består av to bein, spolebeinet (radius) på tommelsiden og albuebeinet (ulna) på lillefingersiden. Disse to beina holdes fast sammen av bindevev (syndesmose). Beina danner albueleddet sammen med overarmsbeinet (humerus), og håndleddet sammen med håndrotsbeina.


Brudd i nedre del av radius, mindre enn 4 cm fra nedre ende av beinet, betegnes på fagspråket som distalt radiusbrudd eller fractura radii typica. Denne bruddtypen kan medføre at de to bruddendene spriker eller blir forskjøvet i forhold til hverandre, men bruddet kan også være uten forskyvning av bruddendene. I unntakstilfelle kan bruddet skade nerver som ligger nær.

Brudd i håndleddet er den vanligste bruddskaden som forekommer. Bruddtypen er hyppigst hos eldre kvinner, men det er heller ikke uvanlig hos yngre personer. Cirka 90 prosent av bruddene innebærer at det ytterste bruddstykket er skjøvet opp (dorsalt, mot håndryggssiden) - denne bruddtypen kalles også Colles brudd (se tegningen over).
Selv om vi bruker betegnelsen håndleddsbrudd, så er det ikke et brudd i selve håndleddet, men noen få centimeter ovenfor leddet.
Diagnosen
Skaden oppstår som regel etter et fall hvor man tar seg for, gjerne med strak arm. Bruddet fører umiddelbart til sterke smerter i håndleddet.
Ved undersøkelse finnes hevelse, blålig misfarging, "knitring" ved bevegelser i bruddspalten, og ofte feilstilling av håndleddet med forskyvning av det nederste bruddstykket. Det er lokal smerte som forverres ved trykk mot området. Bevegelse av håndleddet og grep er smertefullt. Legen vil også undersøke om det kan foreligge skade på nerver eller blodårer.


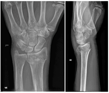
Røntgenbilder tatt forfra og fra siden bekrefter diagnosen (se over). Man ser etter feilstillinger, om det er brudd som innbefatter selve håndleddet, om det er ujevnheter i leddspalten, eller om det foreligger andre beinskader.
Behandling av håndleddsbrudd
Målet med behandlingen er å få satt bruddet tilfredsstillende på plass slik at det tilheler uten feilstilling og at senplager unngås.
Brudd eller brist i beinet som står i god stilling, trenger ikke annen behandling enn gipsing. Brudd som er moderat ute av stilling, men vurderes som stabile, vil man oftest forsøke å reponere (dra på plass) før de gipses. Ved ustabile brudd anbefales operasjon.
Brudd i tilfredsstillende stilling
Disse bruddene gipses med en gipsskinne (video) på håndryggssiden og elastisk bandasje sirkulært, eller det anlegges sirkulær gips som klippes opp slik at den ikke skal bli for trang. Gipsen fjernes vanligvis etter 4 uker. Som regel er det ikke påkrevd med avsluttende røntgenkontroll når bruddet i utgangspunktet stod i god stilling.
Barn med brudd litt høyere opp på radius må følges nøyere.
Stabile brudd
Bruddet må først settes på plass i tilfredsstillende stilling. Lokalbedøvelse sprøytes inn rundt bruddet når bruddet skal trekkes og trykkes på plass.
Når bruddet er i god stilling, gipses armen fra albuen og ned til knokene, litt kortere på håndflatesiden. Armen immobiliseres i nøytral stilling, og det kontrolleres at det er fri finger- og albuebevegelse. Gipsen skal være på i maksimalt 5-6 uker.
Det legges opp til flere røntgenkontroller, slik at man er trygg på at bruddet gror i riktig stilling. Første røntgenkontroll gjøres umiddelbart etter at bruddet er satt på plass. Senere røntgenkontroller avtales i hvert enkelt tilfelle. Avsluttende røntgenkontroll utføres etter 4-6 uker (aldersavhengig).
Det er viktig at fingrene brukes flittig mens gipsen er på. Vær oppmerksom på misfarging av fingrene og om gipsen blir for trang. Skjer det, må lege kontaktes snarest. Det kan hjelpe på hevelse i fingrene å holde armen høyt. En pute under armen kan brukes når man ligger eller sitter.
Etter at gipsen er fjernet, er det viktig å starte opptrening av armen. Dagligdagse aktiviteter som lek, sport og håndarbeid er gode former for opptrening. Etter hvert økes belastningen.
Ustabile brudd
Det anbefales operasjon dersom man på røntgenbildene finner tegn til manglende stabilitet i bruddet. Kompliserte brudd som går inn i leddet, eller hvor det er knusning av beinvev, vil alltid bli operert. Den mest brukte operasjonsmetoden er innsetting av en metallplate over bruddspalten. Det er også mulig å stabilisere bruddet med metallpinner som går gjennom huden.
Studier hos eldre pasienter (> 65 år) der det ytterste bruddstykket er skjøvet opp (dorsalt, mot håndryggssiden), tyder på at funksjonen er tilsvarende etter operativ og ikke-operativ behandling 12 måneder etter skaden. Derfor anbefales operasjon for denne gruppen vanligvis kun til personer med høyere funksjonskrav, lavere biologisk alder eller spesielle behov for rask rehabilitering.
Rehabilitering
Et par uker etter fjerning av gips bør det være fremgang vedrørende funksjon og smerter. I motsatt fall kan henvisning til gjenopptrening være påkrevd.
Som nevnt, dagligdagse aktiviteter som lek, sport og håndarbeid er ofte den beste form for opptrening. Gjenopptrening i samarbeid med fysioterapeut eller ergoterapeut kan være aktuelt ved kompliserte brudd. Ved stabile brudd som står på plass, er det ikke vist at slik behandling fører til bedre resultat enn om man gjør øvelser selv. Alle som behandles for underarmsbrudd, skal få instruksjon om øvelser og aktiviteter som bidrar til et godt resultat.
Varsko!
Hvis det oppstår smerter og hevelse i fingrene, er det viktig å kontakte lege snarest. Dette kan tyde på at gipsen er for trang. Å ha på en for trang gips for lenge kan føre til skader.
Slike håndleddsbrudd i kombinasjon med trang gips kan føre til en langvarig smertetilstand i armen og hånden - såkalt komplekst regionalt smertesyndrom. Derfor er det viktig å kontakte lege eller legevakt snarest dersom gipsen klemmer, og det er mistanke om at den er for trang.
Studier tyder på at forebyggende behandling med vitamin C, 500 mg per dag i 50 dager, kan bidra til å redusere risiko for refleksdystrofi. Det er en enkel og ufarlig behandling.
Komplikasjoner som kan oppstå
Komplikasjoner til håndleddsbrudd kan blant annet være feilstillinger, seneskader, kompresjon av medianusnerven og ulnarisnerven, og komplekst regionalt smertesyndrom. Det kan forekomme redusert kraft og bevegelighet i underarm og hånd som kan vedvare lenge. I de fleste tilfeller går dette seg til og armen blir nesten som før.
Hvordan er prognosen?
De fleste restitueres fullstendig etter adekvat behandling, men risiko for langvarig funksjonsnedsettelse er til stede. En synlig skjevhet i håndleddet etter brudd der det har vært forskyvning av benfragmentene er regelen og ikke unntaket. Stivhet og redusert kraft i håndleddet vil hos de fleste vedvare i 6-12 måneder etter skade. Det er viktig å bruke fingrene flittig under gipsbehandlingen og være aktiv etter fjerningen av gipsen. Etter gipsimmobilisering er det viktig å komme i gang med bevegelsestrening for å gjenvinne funksjon. Belastning kan gradvis økes innenfor toleransegrense etter hvert som bevegeligheten bedres.
Video
- Sirkulær radiusgips - hard gips som benyttes når hevelse ikke lenger er et problem
Dette dokumentet er basert på det profesjonelle dokumentet Radiusbrudd distalt . Referanselisten for dette dokumentet vises nedenfor
- Krukhaug Y, Hove LM. Distale radiusfrakturer. I: Hove LM, VR Finsen, Husby T, et al., red. Håndkirurgi. Bergen: Fagbokforlaget; 2021. s. 197-207
- Radius and Ulna. J Orthop Trauma. 2018 Jan;32 Suppl 1:S21-S32. PMID: 29256947 PubMed
- Kvernmo HD, Hove LM, Odinsson A, et al. Behandlingsretningslinjer for håndleddsbrudd hos voksne. Norsk Ortopedisk forening, sist oppdatert Aug 10, 2015. app.magicapp.org
- Hassellund S. Distale radiusfrakturer. Metodebok.no. Oslo: Oslo universitetssykehus; sist oppdatert 02.12.2022. Siden besøkt 25.03.2025 metodebok.no
- Kvernmo HD, Krukhaug Y. Behandling av distale radiusfrakturer. Tidsskr Nor Legeforen 2013; 133: 405-10. doi: 10.4045/tidsskr.12.0297 DOI
- Kvernmo HD, Olsen KM. Distale radiusfrakturer hos voksne. Håndkirurgi (UNN). Universitetssykehuset Nord-Norge, sist oppdatert 23.01.2023. Siden besøkt 25.03.2025 metodebok.no
- Snelling PJ, Jones P, Bade D, et al. Ultrasonography or Radiography for Suspected Pediatric Distal Forearm Fractures. N Engl J Med 2023; 388: 2049-2057. pmid:37256975 PubMed
- Oftebro I, Skjaker SA, Fridheim HL, et al. Decrease in incidence of distal radius fractures in Oslo, Norway. Arch Osteoporos. 2024 Apr 11;19(1):28. PMID: 38602605 PubMed
- Nelson DL. Distal radius fractures. Medscape, last updated Jun 24, 2020. emedicine.medscape.com
- Eyler Y, Sever M, Turgut A, et al. The evaluation of the sensitivity and specificity of wrist examination findings for predicting fractures. Am J Emerg Med. 2018 Mar;36(3):425-429. doi: 10.1016/j.ajem.2017.08.050. Epub 2017 Aug 24. Erratum in: Am J Emerg Med. 2022 Apr;54:330. PMID: 28912085 PubMed
- Enger M. Distal radiusfraktur (Colles). Oslo skadelegevakt metodebok i skadebehandling. Oslo skadelegevakt, sist oppdatert 20.10.2020. Siden besøkt 25.03.2025 skadelegevakten.no
- Hassellund SS, Williksen JH, Laane MM, et al. Cast immobilization is non-inferior to volar locking plates in relation to QuickDASH after one year in patients aged 65 years and older: a randomized controlled trial of displaced distal radius fractures. Bone Joint J. 2021 Feb;103-B(2):247-255. PMID: 33517725 PubMed
- Costa ML, Achten J, Ooms A, et al. Surgical fixation with K-wires versus casting in adults with fracture of distal radius: DRAFFT2 multicentre randomised clinical trial. BMJ 2022; 376: e068041. pmid:35045969 PubMed
- Hammer O-L. Distal radiusfraktur. Metodebok.no. Lørenskog: Akershus universitetssykehus; sist oppdatert 18.04.2024 metodebok.no
- Handoll HHG, Elliott J. Rehabilitation for distal radial fractures in adults. Cochrane Database of Systematic Reviews 2015, Issue 9. Art. No.: CD003324. PMID: 26403335 PubMed
- Zollinger PE, Tuinebreijer WE, Breederveld RS, Kreis RW. Can vitamin C prevent complex regional pain syndrome in patients with wrist fractures? A randomized, controlled, multicenter dose-response study. J Bone Joint Surg Am 2007; 89: 1424-31. PubMed
- Hove LM, Gudmundsdottir RS. Komplekst regionalt smertesyndrom. I: Hove LM, VR Finsen, Husby T, et al., red. Håndkirurgi. Bergen: Fagbokforlaget; 2021. s. 304-310