Kreftspredning til hjernen, hjernemetastaser: Diagnosen
I mange tilfeller er det kjent at pasienten har fått konstatert en kreftsykdom. Sykehistorien kan da gi mistanke om at tilstanden har spredd seg til hjernen. Mistanken styrkes dersom legen finner tegn på hjerneskade ved kroppsundersøkelsen.


Annonse
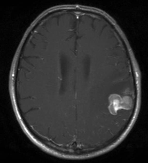
MR er den mest sensitive undersøkelsen såvel til påvisning av små metastaser som til å påvise andre sykdommer i hjernen. Ved CT av hjernen med kontrast finnes multiple hjernemetastaser hos ca. 50 prosent, ved MR-scanning hos ca. 75 prosent.
Dette dokumentet er basert på det profesjonelle dokumentet Hjernemetastaser . Referanselisten for dette dokumentet vises nedenfor
Referanser
- Moen Taule E, Schipmann-Miletic S, Thorsen F, et al. Hjernemetastasar – diagnostikk og behandling. Tidsskr Nor Legeforen, publisert 10. oktober 2022. Doi: 10.4045/tidsskr.21.0809 DOI
- Mitchell DK, Kwon HJ, Kubica PA, Huff WX, O'Regan R, Dey M. Brain metastases: An update on the multi-disciplinary approach of clinical management. Neurochirurgie. 2022;68(1):69-85. PubMed
- Meling TR, Helseth E, Unsgård G, Nakstad PH, Wester K. Hjernemetastaser hos voksne. Tidsskr Nor Lægeforen 2005; 125: 2179-82. PubMed
- Tong E, McCullagh KL, Iv M. Advanced Imaging of Brain Metastases: From Augmenting Visualization and Improving Diagnosis to Evaluating Treatment Response. Front Neurol. 2020;11:270. Published 2020 Apr 15. PMID: 32351445 PubMed
- Winther RR, Vik-Mo EO, Yri OE et al. Surgery for brain metastases - real-world prognostic factors' association with survival. Acta Oncol 2021; 60: 1161–8.
- Suh JH, Kotecha R, Chao ST et al. Current approaches to the management of brain metastases. Nat Rev Clin Oncol 2020; 17: 279–99. PMID: 32080373 PubMed
- Hatiboglu MA, Akdur K, Sawaya R. Neurosurgical management of patients with brain metastasis. Neurosurg Rev 2020; 43: 483–95. PMID: 30058049 PubMed
- Moravan MJ, Fecci PE, Anders CK et al. Current multidisciplinary management of brain metastases. Cancer 2020; 126: 1390–406. PMID: 31971613 PubMed
- Fecci PE, Champion CD, Hoj J et al. The Evolving Modern Management of Brain Metastasis. Clin Cancer Res 2019; 25: 6570–80. PMID: 31213459 PubMed
- Gagliardi F, De Domenico P, Snider S, et al. Role of stereotactic radiosurgery for the treatment of brain metastasis in the era of immunotherapy: A systematic review on current evidences and predicting factors. Crit Rev Oncol Hematol. 2021;165:103431. PubMed
- Palmer JD, Klamer BG, Ballman KV, et al. Association of Long-term Outcomes With Stereotactic Radiosurgery vs Whole-Brain Radiotherapy for Resected Brain Metastasis: A Secondary Analysis of The N107C/CEC.3 (Alliance for Clinical Trials in Oncology/Canadian Cancer Trials Group) Randomized Clinical Trial. JAMA Oncol. Published online October 20, 2022. PMID: 36264568 PubMed
- Tsao MN, Lloyd N, Wong RK, Chow E, Rakovitch E, Laperriere N, Xu W, Sahgal A. Whole brain radiotherapy for the treatment of newly diagnosed multiple brain metastases. Cochrane Database Syst Rev. 2012 Apr 18;4:CD003869. Review.PMID:22513917 PubMed
- Kim IY, Jung S, Jung TY, et al. Repeat Stereotactic Radiosurgery for Recurred Metastatic Brain Tumors. J Korean Neurosurg Soc. 2018;61(5):633-639. PubMed
- Mehta MP, Paleologos NA, Mikkelsen T, et al. The role of chemotherapy in the management of newly diagnosed brain metastases: a systematic review and evidence-based clinical practice guideline. J Neurooncol. 2010 Jan;96(1):71-83. Epub 2009 Dec 4. Review.PMID:19960229 PubMed
- Kotecha R, Gondi V, Ahluwalia MS et al. Recent advances in managing brain metastasis. F1000 Res 2018; 7: 1772. PMID: 30473769 PubMed
- Enrique GV, Irving SR, Ricardo BI et al. Diagnosis and management of brain metastases: an updated review from a radiation oncology perspective. J Cancer Metastasis Treat 2019; 5: 54. PubMed
- Sperduto PW, Kased N, Roberge D, et al. Summary report on the graded prognostic assessment: an accurate and facile diagnosis-specific tool to estimate survival for patients with brain metastases. J Clin Oncol. 2012;30(4):419-425. PubMed